IJBEM logo
International Journal of Bioelectromagnetism
Vol. 4, No. 2, pp. 153-154, 2002.

previous paper

next paper

www.ijbem.org

MINIMUM SUPPORT METHOD FOR MEG SOURCE LOCALIZATION

O. Portniaguine1,  S. Nagarajan2,  D. Hwang2,  K. Sekihara3,  C. Johnson1
1Scientific Computing and Imaging Institute, University of Utah 
50 S Central Campus  Dr. 3490, Salt Lake City, UT 84112
2Dept. of Biomedical Engineering, University of Utah
50 S Central Campus Dr. 2480, Salt Lake City, UT 84112
3Dept. of Electronic Systems and Engineering,  Tokyo Metropolitan Institute of Technology,
Asahigaoka 6-6, Hino, Tokyo 191-0065, Japan

Abstract: Since the MEG (magnetoencephalography) inverse problem is non-unique, multiple, equivalent solutions exist.  We report results of a recenlty developed minimum support method that tackles the problem of non-uniqueness by using a compact solution constraint, in which non-zero values occupy a small area and cause the remaining image to be zero.

We derive a minimum support imaging technique from Tikhonov regularization theory. This theory replaces the original ill-posed inverse problem with a well-posed minimization of a Tikhonov parametric functional consisting of a sum of the misfit functional and a minimum support stabilizer.

We illustrate the proposed method on synthetic data using a realistic head model.  We generate forward MEG data from a two-dipole model, add noise to the data, and then apply the minimum support method for localization.

While Monte-Carlo tests show the performance consistent with that of conventional parametric dipole inversion, the minimum support method is capable of resolving multiple dipoles in a single act of localization.

INTRODUCTION

Magnetoencephalography (MEG) is a non-invasive technique for investigating neuronal activity within the human brain. In MEG studies, the weak magnetic fields (10 fT-1 pT) generated by the electrical activity of the brain are measured using an array of superconducting quantum interference devices (SQUIDs). The goal of biomagnetic imaging is to determine the location and the dynamics of clusters of neurons, which are the sources of the measured magnetic field. Currently, there are two general approaches for estimating MEG sources: parametric methods and imaging methods.  In parametric methods, the sources are represented by a few equivalent current dipoles of unknown location and moment.  The inverse problem in this case reduces to a non-linear optimization problem in which one estimates the position and magnitude of the dipoles.

Imaging methods, the approach taken in this paper, divide the volume of the brain into small voxels and attribute dipolar sources of unknown moment to each voxel.  The inverse problem seeks to reconstruct whole brain activation image.

One of the imaging methods is FOCUSS [1], where the solution is updated at each iteration based on the result of the previous iteration. The method uses a weighting matrix which, as the iterations proceed, reinforces strong sources and reduces weak ones. FOCUSS may produce sparse solutions, but the method has been reported to be sensitive to noise, dependent on the initial estimate and tends to accentuate peaks of the previous iteration. FOCUSS is an empirical method in a sense that no rigorous substantiation is given why the reweighting process produces compact solutions.

In this paper, we present a novel robust minimum-support MEG imaging algorithm, which derives the objective functional under the rigorous context of Tikhonov regularization theory.  The method originates in geophysics [2],[3], with recent applications in MEG and EEG source localizations [4],[5],[6].  Use of Tikhonov regularization to describe the focusing procedure is a major theoretical development that unifies existing theories [6].  It also overcomes sensitivity to noise, the over accentuation of peaks, and the lack of convergence [6]. Our method is computationally efficient, which makes it a good candidate in comparison to the widely used parametric dipole inversion.

SUMMARY OF METHODOLOGY

The geometry is taken from a subject MRI. Figure 1 shows a head surface with an MEG sensor array, shown as a “helmet” consisting of 102 square sensor "plates."  Each “plate” has magnetic coils that measure the normal component of the magnetic field.  We divide the volume of the brain into 30,000 cubic voxels of size 4x4x4 millimeters. The strengths of three components of current dipoles within each voxel are the parameters, while 306 measurements at each helmet plate (two gradients and a field) constitute the data.

               

Figure 1.  Left panel: model head in a 306 channel MEG array. Right panel: location of the test dipoles within the head.

Our forward model (simulation of the data from known parameters) is based on the formula for a dipole in a homogeneous sphere.  The sensitivity kernel for each sensor was computed using an individual sphere locally fit to the surface of the head near that particular sensor site.

Our inverse problem (finding the parameters given data) is based on minimization of the Tikhonov parametric functional, which features a specially selected minimum support stabilizer (constraint) functional [4-6]. The minimum support stabilizer restricts the solution to be compact (occupying the smallest possible volume, or support). We then carry out a numerical minimization of the resulting functional using a re-weighted optimization. The location and strength of the maximums of the resulting solution are extracted automatically and represent the dipolar sources.

RESULTS

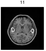
In the first experiment we place two dipoles at the level of primary hearing cortex.  In Figure 1 the right panel shows the location of the dipoles within the wire mesh of the head.  We perform a forward simulation and add 0.25% Gaussian random noise to the solution and then use our method to compute the inverse. Figure 2 displays the evolution of the solution during reweighted iterations. The maximum of the solution shifts, so, unlike the FOCUSS method [1] our minimum support method does more than accentuate the previous iteration’s peaks [6].

In the second experiment, we estimate the localization accuracy of our algorithm using a Monte-Carlo study with 100 simulations.  Each experiment is a separate round of applying an inversion on the data generated by a dipole with a random orientation and location within the brain.  Figure 3 shows a localization error histogram.  The mean error was 2.1 mm, the three largest errors were 8, 10 and 12 mm, all for dipoles located very deep in the brain. These results are consistent with the performance reported in the literature for single-dipole parametric inversion [7].

   

   

Figure 2.  Isolines of solution intensity superimposed on the corresponding MRI slice. Panels show solutions at iterations 1,2,3, and 11, numbered accordingly.

Figure 3:  Histogram of localization accuracy, derived from 100 Monte-Carlo experiments.   The mean error was 2.1 mm.

DISCUSSION

We have presented a minimum support imaging method and demonstrated the method's performance by two simple situations.  While further study remains our intial findings indicate that the method is better than the conventional MEG parametric dipole inversion, as our method is capable of resolving multiple dipoles simultaneously with the same computational efficiency.

Acknowledgments:  This work was partially supported under NIH grant P41 RR12553-03 and also by grants from  the Whitaker Foundation and NIH to SN. The authors would like to thank Dr. M. Funke and B.  Nobleman.

REFERENCES

[1]  I.F. Gorodnitsky and J.S. George,  “Neuromagnetic source imaging with FOCUSS: a recursive weighted minimum norm algorithm”, Electroencephalogr. Clin. Neurophysiol., vol. 95, pp 231-251, 1995.

[2]  B.J. Last and K. Kubik,  "Compact gravity inversion", Geophysics, vol. 48, pp 713-721, 1983.

[3] O. Portniaguine and M.S. Zhdanov,  "Focusing geophysical inversion images", Geophysics, vol. 64, pp 874-887.

[4] O. Potniaguine, and D. Weinstein, and C. Johnson,, “Focusing Inversion of  Electroencephalography and Magnetoencephalography Data”, 3rd International Symposium on Noninvasive Functional Source Imaging (NFSI), Innsbruck, Austria,  pp 115-117,  2001.

[5] D. Weinstein, O. Potniaguine, and L. Zhukov, ”A Comparison of Dipolar and Focused Inversion for EEG Source Imaging”, 3rd International Symposium on Noninvasive Functional Source Imaging (NFSI), Innsbruck, Austria,  pp 121-123,  2001.

[6] O. Portniaguine, S. Nagarajan, D. Hwang, K. Sekihara, C. Johnson, “Minimum Support MEG Imaging”, submitted to IEEE Trans. Med. Imaging., 2002.

[7] R.M. Leahy, J.C. Moshe, M.E. Spencer, et al., “A study of dipole localization accuracy for MEG and EEG using a human skull phantom”, Electroencephalogr. Clin. Neurophysiol., vol. 107, pp. 159-173, 1998.

 

previous paper table of contents next paper

© International Society for Bioelectromagnetism